بالصور ماذا تقول ملامح وجهك عن صحتك ؟

معلومات عامة  -  بواسطة:   اخر قراءة  2021-01-05 06:57:46
بالصور ماذا تقول ملامح وجهك عن صحتك ؟

جميعاً يعتقد بأن العيون نافذة للروح، ولكن ذلك بعض الباحثين بأن باقي ملامح الوجه أيضاً يمكن أن تقول المزيد من الأمور عنك وتكشف المزيد عن صحتك وشخصيتك . يذكر الباحث الأسترالي ألان ستيفيز بأن هناك المزيد من الإحصائيات للحصول علي الإستنتاجات لا تصدق عن صحتك وشخصيتك بمجرد قراءة ملامح الوجه الطبيعية .وذلك لأن هناك العديد من الهرمونات تؤثر علي صحته .

وبالتأكيد أنه لا يمكنك معرفة قصة حياة الشخص بمجرد النظر إليه نظرة عابرة إلي حاجبيه ولكن هناك مجموعة من الأدلة الثابتة التي تقدم إجابات عن العلاقة بين ملامح الوجه والمشاكل الصحية الأخري .

بالصور ماذا تقول ملامح وجهك عن صحتك ؟

فالتشخيص البصري هو أداة قديمة تستخدم من قبل المعالجين التقليديين  لإكتشاف  نقاط القوة والضعف والصحة أو المعاناة من مرض معين . بمجرد الوعي بما يحدث في جسمك يمكنك تشخيص أمراض أو منع الإصابة بأمراض معينة تماماَ . فالوعي بالجسم هو المفتاح لمعرفة النظام الغذائي ونمط الحياة الصحي الذي تتبعه وأي الأنماط تريد أن تتخلي عنها حتي لاتضر بصحتك .

ماذا تقول ملامح وجهك عن صحتك ؟

عرض الوجه :      


بالصور ماذا تقول ملامح وجهك عن صحتك ؟

بالصور ماذا تقول ملامح وجهك عن صحتك ؟

                                    

الأفراد الذين لديهم عرض وجه أعرض وأوسع، غالباً ما يكون  لديهم مستويات أعلي من هرمون التستوستيرون وفقاً لدراسة أجرتها  كارمن  لوفيفر في جامعة نورثمبريا في إنجلترا  عام 2012 ، وبالتالي فإن هؤلاء الأشخاص يعانوا من العدوانية وكثرة الغضب بالمقارنة مع أولئك الأشخاص الذين لديهم عرض وجه أقل . هذا الغضب يدفعه إلي التصرف بقوة ويعانوا من الصراع الداخلي أكثر من نظائرهم  أصحاب الوجه  الأصغر .

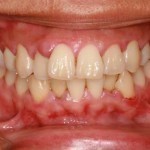
تورم اللثة :

تحدث مشاكل اللثة نتيجة مجموعة من الأمور ومنها إتباع نظام غذائي غير صحي أو عدم تنظيف الأسنان بإستمرار بالفرشاة . يمكنك أن تدل اللثة المتورمة علي نقص فيتامين ج وعند الحصول علي مايكفي من فيتامين ج يساعدك في علاج مشاكل اللثة المختلفة . وقد أظهرت الدراسات أن التعرض لمستويات عالية من الإجهاد يزيد من تراكم الترسبات .

الفم :


بالصور ماذا تقول ملامح وجهك عن صحتك ؟

بالصور ماذا تقول ملامح وجهك عن صحتك ؟

بالصور ماذا تقول ملامح وجهك عن صحتك ؟

الأسنان القصيرة :

قد تري الكثير من الأفراد لديهم أسنان قصير ورفيعة وذلك نتيجة حدوث إرتداد في الحمض . هذا الحمض يترك بقع تصل من المرئ إلي الفم .يذكر  طبيب الأسنان بن أتكينز بأن حمض المعدة أخطر من الغازات لأنه يؤدي إلي إذابة الأسنان .

 اللسان الشاحب أو الداكن :

غالباً ما يكون اللسان الداكن مؤشر علي إنخفاض نسبة الحديد أو أحد أعراض نقص نفيتامين ب وذلك يؤدي إلي العديد من المشاكل الصحية . ويمكنك علاج نقص الفيتامينات من خلال الحصول عليها من الأطعمة الغذائية مثل منتجات الألبان، اللحوم، المكسرات، الخضار الورقية، كلها مصادر جيدة لعلاج هذه المشكلة .

الشفاه الجافة أو المتشققة :

تشقق الشفاه أو وجود تشقق في زوايا الفم غالباً ما يكون أحد الأثار الجانبية للإلتهابات، ويكون الجفاف نتيجة  التعرض المفرط لأشعة الشمس والرياح . كما أنه يمكن إشارة تحذيرية بأن الجسم بحاجة إلي المزيد من فيتامين ب، أ، ج لذلك ينصح بإدراجه في نظامك الغذائي .

الخدود :


بالصور ماذا تقول ملامح وجهك عن صحتك ؟

بالصور ماذا تقول ملامح وجهك عن صحتك ؟

بالصور ماذا تقول ملامح وجهك عن صحتك ؟

الخدود الممتلئ :

إذا كان لديك خدود ممتلئ قد تكون عرضة للإصابة بالعدوي . فقد ذكر تقرير دكتور روبسون أن ذوي الوجوه النحيفة يعانوا من إلتهابات أقل. كما أن الخدود الممتلئة تكشف المزيد من مؤشر كتلة الجسم . ويمكن أن يدل الوجه النحيف  إلي إنخفاض مخاطر الإصابة بالإكتئاب والقلق  وذلك لأن الصحة النفسية مرتبط باللياقة البدنية .

 الخدود الوردية :

يقصد هنا بالخدود الوردية بشكل غير طبيعي يمكن أن يكون ذلك نتيجة مشاكل طبية معينة . بالرغم من أن الأطباء مازالوا غير متأكدين ما هي الأسباب التي تؤثر علي 45 مليون شخص حول العالم تجعل البشرة تظهر وردية وتعاني من الإحمرار الشديد قد يكون بسبب الإرتفاع الشديد في درجة الحرارة  ويفضل إستشارة طبيب الأمراض الجلدية للحد من إنتشار المرض .

 الخدود الحمراء :

يشير الدكتور نيك لوي طبيب الأمراض الجلدية وإستشاري  عمليات التجميل البريطاني بأن الخدود الحمراء يمكن أن تكون علامة لوجود مشاكل جلدية مثل الوردية فهو يشير أيضاً إلي مجموعة من المشاكل الداخلية . ويشمل ذلك  متلازمة كوشينغ وزيادة مستويات هرمون الكورتيزول . ويعمل هرمون الكورتيزول علي تضخم الأوعية الدموية ويبدو الجزءي العلوي من الجسم متضرر وتعاني من حساسية الوجه والصدر .

الخدود الأرجواني :

الخدود الزرقاء أو الأرجوانية تشير إلي إنخفاض مستوي الأوكسجين في الدم والسبب في ذلك هو إرتفاع ضغط الدم الرئوي وإرتفاع ضغط الدم  في الشرايين التي تغذي الرئتين وهذا يعني عدم القدرة علي نقل كمية كافية من الدم المؤكسد إلي الدورة الدموية وذلك وفقاً لما ذكره الطبيب توني هيجرتي أستاذ الطب في جامعة مانشستر .

يصبح الدم الغير مؤكسد باللون الأزرق أو اللون الأرجواني لأن خلايا الدم الحمراء تحمل كمية أقل من الأوكسجين . ويرتبط إنخفاض الأوكسجين في الدم  أيضاً مع  أمراض الرئة المزمنة وبعض أنواع أمراض القلب .

ظهور طفح جلدي علي الخدود :

يظهر طفح جلدي علي الخدود وينتشر عبر الأنف والخدين ويمكن أن يكون ذلك أحد أعراض مرض الذئبة ونقص المناعة التي تؤدي إلي التعب وألام المفاصل .

قد يرتبط ظهور الطفح الجلدي نتيجة التعرض للأشعة فوق البنفسجية مما يؤدي إلي تلف خلايا الجلد وهذا الطفح قد يؤدي علي فروة الرأس أيضاً  ويعتقد بأن ذلك بسبب حدوث خلل في الجهاز المناعي ومهاجمة خلايا الجلد وفقاً لما قاله جوزيف جورز أستاذ الأمراض الجلدية في كلية طب وايل كورنيل في نيويورك .

الأنف :


بالصور ماذا تقول ملامح وجهك عن صحتك ؟

بالصور ماذا تقول ملامح وجهك عن صحتك ؟

ظهور نتوءات علي الأنف : 

تسمي بحالة نادرة تسمي الساركويد والتي تسبب في ظهور ندبات في أجزاء معينة من الجسم مثل نتؤءات حمراء علي الأنف أو الأذنين وهذه الحالة أكثر شيوعاً في شمال أوربا وأفريقيا .

الأنف الكبير :  ذكرت دراسة أمريكية نشرت عام 2012 بأن الأفراد أصحاب الأنف الكبير ساعدهم في الحماية من الجراثيم ودخول البكتريا إلي الرئتين  . وذكر الدكتور أنتوني بأن الأنف الكبير يوفر حماية أكبر لفم.

البشرة :


بالصور ماذا تقول ملامح وجهك عن صحتك ؟

بالصور ماذا تقول ملامح وجهك عن صحتك ؟

بالصور ماذا تقول ملامح وجهك عن صحتك ؟

بالصور ماذا تقول ملامح وجهك عن صحتك ؟

البشرة الجافة :

في معظم الأوقات يكون جفاف البشرة ناتج عن التعرض المفرط لأشعة الشمس وأخذ الكثير من الحمامات الساخنة لفترة طويلة  . وفي حالات أخري، يكون ناتج عن الإصابة بأمراض معينة مثل السكري أو الإكزيما أو الصدفية . أو يمكن أن يكون السبب هو نقص الزنك، الأحماض الدهنية،  فيتامين أ  ويمكنك تعويض ذلك من خلال زيادة تناول  الفول، المكسرات والأسماك الدهنية التي تساعد في تقليل جفاف البشرة .


 البشرة الصفراء :

إصفرار الجلد يمكن أن يكون أحد الأثار الجانبية لأحد الأدوية، مثل مرض السكري، إرتفاع ضغط الدم، وأيضاَ يشير إلي حدوث تلف في الكبد نتيجة اليرقان .

بقع بنية في البشرة :

يطلق علي البقع البنية في البشرة الكلف تصبح أكثر شيوعاً بين النساء أكثر من الرجال . يمكن أن تكون لهذه البقع صغيرة عند المرأة نتيجة الحمل أو تناول حبوب منع الحمل أو التعرض المستمر لأشعة الشمس .

التجاعيد :

التجاعيد هي خطوط عميقة في الوجه فهي أحد أعراض مرض هشاشة العظام وفقاً لدراسة أمريكية نشرت 2011  وجدت الدراسة  علي 114  إمرأة بعد إنقطاع الطمث في عمر 40 أو 50 عام  يعانوا من ظهور التجاعيد بسب نقص كمية الكولاجين في لبنة العظام والجلد .

الأذن :

ظهور تجاعيد صيوان الأذن بأنه أحد عوامل خطر الإصابة بأمراض القلب .وفي دراسة نشرت في مجلة الأوعية الدموية 2014 تمت علي حوالي253 شخص وجدت بان الأذن التي تعاني من التجاعيد كانت مرئية لدي 10 %  وكانوا أكثر عرضة للإصابة  بإنسداد الشرايين  وتراكم الكوليسترول الضار .