مسببات مرض الكساح

معلومات عامة  -  بواسطة:   اخر تحديث:  ١٢:٣٧ ، ٧ يوليو ٢٠٢٠
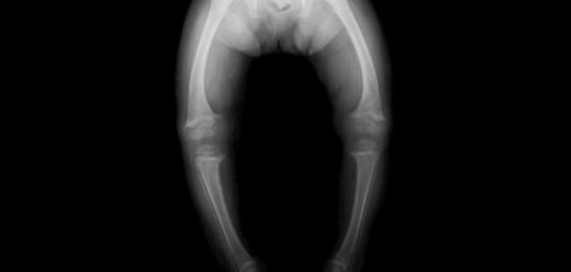
مسببات مرض الكساح

الأسباب العامّة لمرض الكساح

  • عدم تعرّض الأم الحامل لأشعّة الشمس أثناء حملها بسبب تغطيتها لوجهها.

  • نقص الكالسيوم ونقص فيتامين د في الغذاء. ومن أهمّ المصادر الغذائيّة لفيتامين د هو الحليب ومشتقّاته؛ كاللبن، والجبنة، والزّبدة، والقشطة، والبيض، وزيت السّمك، والكبد.

  • تزداد الإصابة بمرض الكساح لدى أطفال الخداج

  • تزداد نسبة الإصابة بالكساح لدى الأشخاص المصابين بأمراض الكلى وأمراض الكبد

  • تزداد نسبة الإصابة بالكساح عند أخذ أدوية كالكادميوم، والليثيوم، والحديد، والفلوريد، والألومنيوم، وبعض أدوية مضادّات التشنّج.

الأسباب الوراثيّة لمرض الكساح

  • نقص إنزيم ألفا هيدروكسيليز، أو نقص أنزيم هيدروكسيليز ممّا يؤدّي إلى ما يسمّى بالكساح المعتمد على فيتامين د (النّوع الأوّل)

  • مقاومة مستقبلات فيتامين د لتأثيرات فيتامين د ممّا يؤدّي إلى الكساح المعتمد على فيتامين د (النّوع الثاني)

  • نقص الكالسيوم وزيادة إفراز الغدد جارات الدرقيّة وكذلك نقص إفرازها

  • الإصابة بمرض نقص الفوسفات الوراثي المرتبط بكروموسوم إكس أو الكروموسومات الجسميّة

  • الإصابة بمرض دنت ومتلازمة فنكون ومتلازمة لوي ( والّتي تؤثّر على الدّماغ والكلى والعين في الوقت نفسه)

فيديو عن مرض الكساح وأسبابه

يتحدث الفيديو عن مرض الكساح وأسبابه.