علاج التهاب اللثة بالاعشاب

معلومات عامة  -  بواسطة:   اخر تحديث:  2018-07-28T00:53:35+00:00
علاج التهاب اللثة بالاعشاب

علاج التهاب اللثة بالاعشاب وماهى افضل الطرق السريعة لمعالجة التهاب اللثة من خلال هذه السطور التالية.


لثة



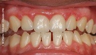
اللثة هي طبقة من نسيج حيوي الرخو تستر العظم السنخي للفكين العلوي والسفلي داخل الفم النسيج اللِّـثَـوِي نسيج شفاف بطبيعته، ويعزا لونه الأحمر للتوعية الدمويةالغزيرة الواردة إليه، تلتصق اللثة إلى كل من العظم السنخي التحتي وإلى جدر السن بواسطة ما يسمى بالألياف اللِّـثَـوِية، تعتبر اللثة أيضا جزء من المكونات الأربعة للنسيج الداعم حول السني والمؤلف من : اللثة والعظم السنخي والملاط السني وأخيرا الرباط السني السنخي.

مستمر وآلام شديدة، وعدم القدرة على تناول أي أطعمة أو مشروبات.

بالإضافة إلى تهديد الصحة العامة من إمكان نزول البكتيريا المسببة لالتهاب اللثة إلى الأمعاء، والذي يمكن أن يؤدي إلى المزيد من المشاكل، في الحلق والجهاز الهضمي والتهاب اللثة هو أكثر الأمراض الفموية انتشارا.

وممكن أن يتمثل في نزيف اللثة، أو انحسارها عن الأسنان، مما يهدد بسقوطها، ويمكن أن يكون بتورم في اللثة، أو حدوث تقيحات.


اسباب التهاب اللثة:




1. البلاك:

يعتبر تراكم البكتيريا على طبقة البلاك هو السبب الأساسي لالتهاب اللثة، والذي ينتج من وجود بقايا الطعام في الفم لفترة طويلة دون تنظيف، لذا فإن تنظيف الأسنان بالفرشاة والمعجون يوميا يساعد على منع تكون طبقة البلاك ومن ثم حماية اللثة.

2. الحمل:

تساعد التغيرات الهرمونية أثناء الحمل على حدوث التهابات في اللثة، كما أن التغذية التي تذهب إلى الجنين يمكن أن تضعف من مناعة الأم فتتعرض أسرع إلى العدوى البكتيرية المسببة لالتهاب اللثة، كما يمكن أن تعاني الأم من ارتجاع المريء وزيادة أحماض المعدة وصعودها إلى الفم مما يسبب الألم والالتهاب.

3. مرض السكري:

يعتبر السكري من العوامل التي تؤثر على صحة الفم والأسنان، حيث أن البكتيريا تنشط أكثر كلما زاد السكر في الفم، لذا فإن داء السكري يساعد على زيادة البكتيريا.

4. الالتهابات البكتيرية:

يمكن أن يتعرض الإنسان لعدوى بكتيرية في الجهاز التنفسي أو الهضمي، وتظهر أثارها على أنسجة اللثة.


علاج التهاب اللثة بالاعشاب :



هناك الكثير من الأعشاب والمواد الطبيعية التي يمكنها علاج التهاب اللثة، ولكنها لن تغني بشكل نهائي عن الذهاب إلى طبيب الأسنان، لمعرفة السبب الحقيقي في الالتهاب وحله من جذوره، لكن يمكن لهذه الاعشاب أن تكون حلولا مؤقتة لحين الذهاب إلى الطبيب، ومن هذه الأعشاب:

1. عصير الصبار أو الألوفيرا:

يستخدم الصبار في علاج التهاب اللثة بالاعشاب عن طريق قطع إحدى أوراق الصبر وحصرها في كوب زجاجي ثم وضع طبقة من هذا العصير على اللثة، ويمكن تركها لأطول فترة ممكنة، كما يمكن الغرغرة بالماء بعدها بفترة ربع ساعة أو نصف ساعة.

ويمكن تخزين العصير الهلامي المتبقي من الصبار في وعاء محكم الإغلاق ويمكن استخدام هذه الوصفة مرتين يوميا لنتائج فعالة، كما يمكن دهن اللثة بعد وجبة العشاء وبعد غسيل الأسنان، حتى تبقى على اللثة حتى الصباح، فالصبار غني بالمواد المضادة للالتهاب والتي تقاوم البكتيريا.

2. القرنفل:

يضم القرنفل مادة الأوجينول، وهي تتمتع بخصائص مفيدة في مقاومة الالتهابات والفطريات، ويمكن تقطير نقطة أو نقطتين من القرنفل على اللثة الملتهبة، وتركها أطول فترة ممكنة، وتكرار الأمر مرتين أو ثلاثة يوميا.

3. عصير التوت البري:

عصير التوت البري يحتوي على مواد مضادة للأكسدة، كما يضم مواد مضادة للالتهابات مما يسرع من عملية شفاء اللثة من النزيف، ويمكن تناول كوبين أو ثلاثة من عصير التوت البري لعلاج اللثة وتقويتها.

وإذا كان قويا جدا على الأسنان يمكن تخفيفه ببعض الماء، كما أن عصير التوت خالٍ من السكر، مما يجعله يحد من انتشار البكتيريا وتكاثرها وبالتالي الشفاء السريع للثة وتقويتها، بالإضافة إلى يحتوي على فيتامين (ج) الذي يمنع البكتيريا من الالتصاق بالأسنان، واللثة.

4. عصير الليمون:

من فوائد الليمون انه يحتوي على حمضي الستريك والأسكوربيك حيث لهما أثار رائعة ضد الميكروبات عموما وميكروبات الفم خصوصا، ويمكن عصر ليمونة وتخفيفها ببعض الماء وغرغرة الفم بها لمدة دقيقة أو دقيقتين لقبض الأوعية الدموية وتطهير الفم واللثة، ويمكن استخدامه كغسول للفم صباحا ومساءً.

5. الميرمية:

حيث يتم وضع ملعقة طعام من مسحوق الميرمية على كوب ماء ورفعهم على النار حتى الغليان لبضع دقائق، ثم إضافة القليل من الملح والتقليب جيدا، ثم ترك المزيج ليبرد قليلا، وبمجرد أن يصير فاترا تتم الغرغرة به.

ويمكن تحضير كمية أكبر من هذا الغسول العشبي والاحتفاظ به في الثلاجة، ثم تدفئته عند الاستخدام، حيث أن الميريمة تقلل من تورم اللثة وتكافح الميكروبات وتطهر الفم،كما تساعد على سد التجاويف في الأسنان، فهي تعتبر من أهم الطرق للمساعدة في علاج التهاب اللثة بالاعشاب .

6. الغرغرة بالشبَّة:

يتم وضع نصف ملعقة صغيرة من مسحوق الشبَّة على كوب من الماء الدافئ والغرغرة به مرتين أو ثلاثة يوميا، حيث تقلل الشبَّة من التهاب اللثة وتزيل الاحمرار، وتقتل البكتيريا.

7. زيت شجرة الشاي:

يمكن وضع قطرتين من زيت شجرة الشاي على فرشاة الأسنان وتدليكها يوميا، حيث أن زيت شجرة الشاي من المكونات الأساسية لمقاومة بكتيريا الفم والفطريات، ويمكنه القضاء ببساطة على كل مسببات التهاب اللثة.

8. الشاي الأخضر:

يتم غلي بعض أوراق الشاي الاخضر مع كوب من الماء، ثم تصفيته وتناوله مع قليل من العسل، حيث أن الشاي الأخضر يحسن من عملية التمثيل الغذائي، ويعمل كواقٍ للجسم من الميكروبات، كما يحافظ على صحة تجويف الفم، بالإضافة إلى أنه يحتوي على مضادات الأكسدة التي تحمي الفم واللثة من الأورام.

9. عشبة المر:

هي من النباتات الساحرة في علاج التهاب اللثة بالاعشاب وتكافح تسوس الأسنان أيضا، ويمكن الحصول عليها طازجة وسحقها ووضع القليل منها على اللثة الملتهبة وستشفى في دقائق معدودة.

كما يمكن غليها في بعض الماء وانتظارها حتى تكون فاترة، ثم المضمضة بها لمدة دقيقة أو دقيقتين، ويمكن استخدامها كأعشاب وقائية ضد التهاب اللثة وتسوس الأسنان.

10. عشب النيم:

هو العشب الذي يُصنع منه السواك، ويمكن أن يعمل رائعا بدلا من فرشاة الأسنان، حيث يمنع تكون البلاح، ويمكن للعشبة نفسها التخفيف من التهاب اللثة عن طريق مكافحة الميكروبات، كما يمكن استخدام النيم المجفف مع معجون الأسنان العادي.

11. عشبة إشنسا:

هي عشبة شهيرة في تقوية جهاز المناعة، كما أنها تحافظ على صحة الفم وتقاوم البكتريا وتعمل كمضاد حيوي طبيعي ضد الميكروبات.

12. جذور العنب:

تعمل كمضادات حيوية قوية للبشرة عموما والفم على وجه الخصوص، حيث تساعد على مكافحة الميكروبات وتقليل الالتهابات، وتعتبر من النباتات النادرة في علاج التهاب اللثة بالاعشاب حيث تنمو في ولاية أمريكية اسمها أوريغون، وارتبط اسمها بها.

13. دنج النحل:

أو صمغ النحل، وهي عبارة عن مادة لزجة وشمعية، تتكون من لعاب النحل مع حبوب اللقاح، ويفرزها النحل لمنع دخول البكتيريا إلى بيته، وهي فعالة في قتل الميكروبات والجراثيم.

لذا فإن شمع النحل فعال أيضا في علاج التهاب اللثة، ويحتوي على أحماض أمينية مفيدة وفيتامينات تزيد من المناعة وتقوي من اللثة وتمنع تسوس الأسنان.

14. موز الجنة:

هو نوع من الأعشاب يشبه موز التحلية الذي نعرفه بشكل طبيعي، ولكنه يستخدم في الطبخ، أما أوراقه فهي من الأعشاب المفيدة التي تحتوي على مضادات حيوية، وتمنع العدوى، وتعمل على تجديد الخلايا.

كما تعمل كمسكن للألم، لذا يمكن وضعها على اللثة الملتهبة كما هي لتخفيف الالتهاب، أو غلي بعض أوراق موز الجنة والغرغرة به بعد أن يبرد قليلا.

15. النعناع:

هو من الأشاب المتوافرة طوال العام تقريبا وموجودة في كل منزل، و فوائد النعناع لا تعد ولا تحصى في تخفيف الالتهاب وعلاج التقيحات، كما أنه مفيد في تبييض الأسنان، ومقاومة البكتيريا، ومنع تكون البلاك.

ويمكن مضغ أوراق النعناع الطازجة لتخفيف ألم اللثة، كما يمكن غلي الأعشاب الجافة منها والغرغرة بها بعد أن تبرد قليلا، لتعطير الفم ومنع الجراثيم من الانتشار.